转载:痛经加剧两年,卵巢囊肿需警惕!长期管理方案共析
执笔专家:
赵晨阳 湖南省郴州市第一人民医院(湘南学院第一附属医院)妇科
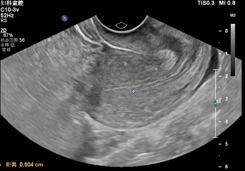
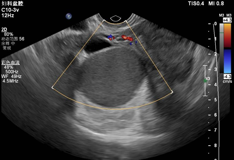
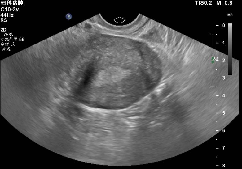
患者张xx,女,29岁。就诊时间:2021年3月20日。 主诉:继发性痛经伴进行性加重2+年。 现病史:患者自2018年10月份开始无明显诱因出现月经期下腹痛,起初未在意,未就诊。现因痛经进行性加重,NRS疼痛评分5分,伴性交痛,为进一步诊治就诊。 既往史:既往体健,无特殊既往史可询。 个人史:无特殊个人史可询。 月经史:14岁初潮,5/28天,经量中等,2018年开始出现痛经。 婚育史:22岁结婚,孕2产1,2015年足月顺产分娩1女,2017年自然流产1次。 家族史:无特殊家族史可询。 妇科检查:外阴已产式,阴道畅,宫颈光滑,大小正常,质中,子宫后位,宫体大小正常,形态规则,活动欠佳,后穹隆可及触痛结节,右侧附件区可扪及一个大小约7cm*6cm*5cm的囊性肿物,活动欠佳,伴触痛,左侧附件区未扪及明显异常。 辅助检查: B超:子宫后位,宫体大小正常,宫腔线居中,内膜厚4mm,肌层无明显增厚,右侧附件区可见大小约76mm*58mm*54mm的囊性肿物,内可见密集细弱光点,左侧附件区未见显异常回声。 术前B超:右侧卵巢囊肿 诊断: 诊断依据: 处理:患者继发性痛经伴进行性加重,B超检查提示卵巢子宫内膜异位囊肿>4cm,患者近期内有生育要求,予以行腹腔镜下卵巢子宫内膜异位囊肿剥除术+盆腔子宫内膜异位病灶切除术,术后予以地屈孕酮口服减少内异症复发并随访。 1.诊疗思路: (1)长期管理,坚持以临床问题为导向,以患者为中心,分年龄阶段处理,综合治疗; (2)基于临床诊断尽早开始经验性药物治疗; (3)规范手术时机,注意保护卵巢功能和生育力,使患者的手术获益最大化; (4)保守性手术后进行药物长期管理,综合治疗,预防复发; (5)内异症患者应定期复查,对有恶变高危因素的患者应警惕恶变。 患者继发性痛经伴进行性加重,B超检查提示卵巢子宫内膜异位囊肿>4cm,根据中国子宫内膜异位症诊治指南(第三版),有手术指征,针对该患者的病情,我们采取了腹腔镜手术+术后药物长期管理的治疗策略,并鼓励患者恢复后尽早备孕。 2.手术治疗: 术后病理: (1)右侧卵巢子宫内膜异位囊肿; (2)(盆腔病灶)可见含铁血黄素陈旧,考虑为子宫内膜异位; (3)患者术后恢复良好,于2021年3月26日出院。 3.术后长期管理: 4.术后随访: 妇科检查:阴道后穹隆触痛结节不明显,双侧附件区未扪及明显异常。复查盆腔彩超未提示巧囊复发。嘱患者继续规律服药。 第一次复查 ②2021-12-06,患者第二次随访。痛经情况较术前明显缓解,NRS疼痛评分1分。患者期间一直遵医嘱规律服用地屈孕酮,月经正常。 妇科检查:阴道后穹隆未扪及触痛结节,双侧附件区未扪及明显异常。复查盆腔彩超未提示巧囊复发。嘱患者继续规律服药。 第二次复查 ③2022-04-17,患者第三次随访。患者自术后已规律服用地屈孕酮1年,月经正常,痛经已完全缓解,无性交痛,NRS疼痛评分0分。 妇科检查:阴道后穹隆未扪及触痛结节,双侧附件区未扪及明显异常。复查盆腔彩超未提示巧囊复发。建议患者可继续规律服用地屈孕酮。 第三次复查 子宫内膜异位症是生育期女性的常见病,多发病,约10%的生育期女性患有内异症。其主要症状是下腹痛和痛经,还可表现为慢性盆腔痛和性交痛,除此之外还有不孕、月经异常等表现。内异症可影响生殖系统各个部分,导致卵巢功能受损,生育力下降。2021年中国子宫内膜异位症诊治指南(第三版)指出内异症治疗应以患者为中心,分年龄阶段处理,规范手术时机,在保守性手术后应予以长期药物管理及定期复查[1]。 内异症的药物治疗主要分为非甾体类抗炎药(NSAID)、孕激素类、复方口服避孕药(COC)、促性腺激素释放激素激动剂(GnRH-a)及中药等。其中孕激素又包括地屈孕酮和高效孕激素,如地诺孕素、甲羟孕酮、左炔诺孕酮宫内释放系统(LNG-IUS)[2-3]。 地屈孕酮的优势在于控制内异症的同时不抑制排卵,适合有生育需求的患者[4]。全周期口服地屈孕酮片10-20mg/d,可有效控制内异症,同时可改善孕激素抵抗,增加妊娠机会[5]。 本病例中患者有明确的近期内生育要求,故不适宜予以GnRH-a、COC、地诺孕素等药物;同时患者EFI评分7分,患者拒绝试管婴儿等辅助生殖技术。因此,我们在与患者及家属沟通后给予患者月经第5-25天,地屈孕酮10mg/d,口服来减少内异症的复发并在服药前给患者做了乳腺彩超排除了乳腺结节。患者服药3个月即感到痛经明显缓解,术后规律服药1年后痛经完全消失,起到了良好的治疗效果。地屈孕酮得益于其服药期间不干扰受精卵着床,增强自然受孕能力,对有生育需求的患者具有优势[6]。同时,长期服用地屈孕酮对肝脏影响小,不引起骨质疏松,是内异症长期管理的优选药物之一[7-8]。 参考文献: 赵晨阳 医生 湖南省郴州市第一人民医院(湘南学院第一附属医院) 湖南省郴州市第一人民医院(湘南学院第一附属医院)妇科 副主任医师,医学硕士,毕业于中南大学湘雅医学院 ❖湖南省郴州市妇产科专业委员会秘书 ❖主攻方向:妇科恶性肿瘤规范化治疗和妇科微创手术 ❖目前主持湘南学院校级课题1项,院级课题1项,院内新技术项目1项
1.盆腔肿物:右侧卵巢子宫内膜异位囊肿?
2.盆腔子宫内膜异位症
3.不良孕产史
1.继发性痛经伴渐行性加重2+年;
2.体格检查:阴道后穹隆可及触痛结节,较固定、边界不清;右侧附件区可扪及一个大小约7cm*6cm*5cm的囊性肿物,活动欠佳,伴触痛;
3.B超检查提示右侧附件区可见大小约76mm*58mm*54mm的囊性肿物,内可见密集细弱光点。
子宫内膜异位症总的治疗目的是减灭和消除病灶,减轻和消除疼痛,改善和促进生育,减少和避免复发。因为子宫内膜异位症患者的个体化差异较大,所以不同患者的治疗方案也有所不同。但在治疗过程中我们应遵循以下治疗原则:
患者入院后行腹腔镜手术探查,术中见子宫后壁下段与直肠前壁粘连,部分子宫直肠陷凹封闭,右侧卵巢增大约7cm*6cm*5cm,囊性,包膜完整,外观呈紫蓝色,并与右侧盆壁及子宫右侧壁致密粘连,右侧输卵管稍挛缩,中外1/3与右侧盆壁腹膜粘连,左侧附件外观正常,膀胱子宫反折腹膜、双侧盆壁腹膜可见散在紫蓝色结节,如小米粒大小。予以行腹腔镜下卵巢子宫内膜异位囊肿剥除术+盆腔子宫内膜病灶切除术,术后ASRM评分:51分;EFI评分:7分。
患者有明确的近期内生育需求,故不适宜予以GnRH-a、COC、地诺孕素等药物;同时患者EFI评分7分,患者拒绝试管婴儿等辅助生殖技术。参考中国子宫内膜异位症诊治指南(第三版),口服地屈孕酮10-20mg/d可有效地减少内异症的复发,同时不影响排卵。因此,我们在与患者及家属沟通后给予患者月经第5-25天,地屈孕酮10mg/d,口服来减少内异症的复发;考虑到孕激素可能对乳腺的影响,我们在服药前给患者做了乳腺彩超,未提示有乳腺结节。
①2021-07-20,患者第一次随访。2021-04术后第一次月经经期稍长,10天左右干净,经量正常,痛经情况较术前缓解,NRS疼痛评分3分。患者期间一直遵医嘱规律服用地屈孕酮,2021-05、06月经均正常。


[2].中国医师协会妇产科医师分会子宫内膜异位症专业委员会,中华医学会妇产科学分会子宫内膜异位症协作组.子宫内膜异位症长期管理中国专家共识[J].中华妇产科杂志,2018,50(12):836-840.
[3].冷金花,史精华.重视子宫内膜异位症患者生育力保护[J].中国实用妇科与产科杂志,2024,40(05):481-484.
[4].徐萍,张信美.有生育要求的子宫内膜异位症患者术后管理[J].中国实用妇科与产科杂志,2024,40(05):497-500.
[5].赵丹.GnRHa联合孕激素治疗子宫内膜异位症的效果研究[J].中国医药科学,2024,14(08):105-108.
[6].Johnson NP,Hummelshoj L,Adamson GD,et al. World Endometriosis Society consensus on the classification of endometriosis[J]. Hum Reprod,2017,32(2):315-324.
[7].Tsikouras P,Oikonomou E,Bothou A,et al. The impact of endo⁃metriosis on pregnancy[J]. J Pers Med,2024,14(1):5-8.
[8].Lim HJ,Sun J,Min B,et al. Endometriosis and adverse pregnancy outcomes:a nationwide population-based study[J]. J Clin Med,2023,12(16):758.
转载于:妇产科网


